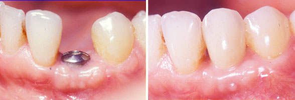
Dental implantology

Dental implants are artificial roots which allow to fix the dental crowns. We exclusively use models in titanium, since they benefit from a sufficient experience and this biologically inert metal is not rejected by the body. The placement of an implant is most of the time done under local anaesthetic. The medical contraindications are rare.

By nature, the implementation of a dental implant is soft. We make every effort to carry out the most comfortable possible intervention by taking all necessary precautions. By following our post-operative advices, the bad consequences of the intervention will really be weak.

The acquisition and the control of the latest implant techniques allow today the implementation of dental implants of small lengths and small diameter what simplifies the surgical protocols by avoiding many bone grafts. The speed and the comfort of treatments can be strongly improved and the global cost of surgeries can be also decreased.

Our experience in this domain asures safetiy; we have been practicing for over 20 years and have done several thousands implants.

Cookies ensure the proper functioning of our website. By continuing your navigation, you accept their use.Learn moreI accept