Les greffes osseuses
Quand la masse osseuse est insuffisante pour placer des implants, il est presque toujours possible de faire une greffe osseuse. Cela revient à prendre de l’os sur une partie du corps et de le transférer à l’endroit que l’on veut reconstruire. Le choix du site donneur, c’est à dire le site sur lequel on va prendre l’os est décidé en fonction du volume d’os à prélever.
En chirurgie implantaire, on peut prendre de l’os à l’intérieur de la bouche (menton et région de la dent de sagesse), ou à l’extérieur de la bouche (voûte crânienne ou plus rarement la hanche).
Il est aussi possible d’utiliser des matériaux étrangers au corps humain que l’on appelle des hétérogreffes. Ce peut être de l’os d’origine animale*, ou même des micro particules de verre. Ces matériaux servent de support à la ré-ossification.
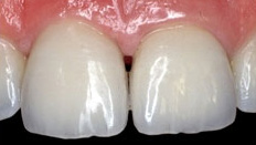
Cas clinique :

Ici, le patient présentant une perte osseuse au niveau de son incisive centrale supérieure droite. Une greffe osseuse (prélevée sur le menton) a permis d’harmoniser la crête osseuse pour placer un implant dans de bonnes conditions et obtenir ainsi un résultat esthétique très satisfaisant.
En règle générale, il faut attendre 4 à 6 mois après la greffe pour placer les implants. Durant cette période, il est possible de replacer une prothèse adjointe.
* Les matériaux d’origine animale que nous utilisons font l’objet d’une surveillance très stricte de la part du ministère de la santé et possèdent tous l’autorisation de mise sur le marché.