Mise en fonction immédiate
Pourquoi la mise en charge immédiate
Depuis le début, une des grosses contraintes de l’implantologie a été le temps.
En effet, le Professeur Brånemark a défini en 1965 des durées de cicatrisation osseuse (période entre la pose de l’implant et la pose de la prothèse) s’étalant entre 3 et 6 mois. Ce délai représente plusieurs inconvénients et, parfois, peut contre-indiquer la solution implantaire, bien qu’encore une fois, elle est bien souvent la solution de choix.
Comment ça marche ?
Depuis plus de 10 ans des chercheurs et des cliniciens ont commencé à travailler pour voir s’il était possible de réduire ce délai de cicatrisation. Il a été montré que dans certaines conditions, il n’était plus nécessaire d’attendre plusieurs mois avant de placer une prothèse.
Un implant présentant une très bonne stabilité dans l’os peut parfois recevoir une prothèse immédiatement.
Pour comprendre pourquoi et comment ça marche, il est intéressant de prendre un exemple dans une autre discipline médicale que la nôtre.
Si vous avez une fracture de l’avant bras, le chirurgien vous place des broches et vous plâtre le bras. A partir de ce moment il va vous déconseiller de porter des charges lourdes ou de faire tout sport susceptible de mobiliser les fragments osseux. Par contre (si vous êtes adroit !) vous pouvez écrire, vous servir de votre bras pour vous habiller etc.
Vous pouvez faire tous ces gestes car la contrainte transmise à votre os en voie de cicatrisation est très faible par rapport a la stabilité mécanique induite par le plâtre et les broches.
C’est en se basant sur ce principe que l’on peut expliquer la possibilité de faire de la mise en fonction immédiate avec les implants. Si la stabilité mécanique des implants est très bonne dès le moment de leur pose, il est possible de placer immédiatement des couronnes dessus à condition qu’il n’ y ai aucun contact avec les dents de l’autre mâchoire.
Quelles sont les indications ?
Il faut considérer deux grandes catégories d’indications :
-
Il manque peu de dents :
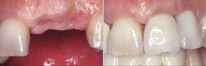
Quand il manque peu de dents (de 1 à 3 environ) et que l’os est suffisamment dense pour placer des implants avec une bonne stabilité, il est parfois possible de mettre immédiatement une couronne ou un bridge provisoire en sous occlusion, sans contact avec les dents de l’autre mâchoire. Après une période de 4 à 6 mois, la couronne ou le bridge définitif est mis en place.

Patiente ayant perdue ses dents dans un accident de voiture. Deux implants sont mis en place après une courte période de cicatrisation de la zone traumatisée. Deux couronnes provisoires en résine sont placées le jour de l’intervention (vue clinique après 6 semaines).
-
Il manque toutes les dents :
Quand il y a assez d’os pour mettre suffisamment d’implants (4 à 6 à la mâchoire du bas et 6 à 8 à la mâchoire du haut), il est possible de placer immédiatement un bridge provisoire en résine.
Quelles sont les contre-indications ?
Il n’est pas possible de faire des protocoles de mise en fonction ou de mise en charge immédiate chez les patients qui :
- Ont un os peu dense. C’est le scanner qui le montre.
- N’ont pas assez d’os. La radiographie panoramique peut suffire à le révéler.
- Ont un os qui cicatrise mal (fumeur de plus de 15 cigarettes par jour, diabétique mal équilibré, patient ayant subit des irradiations).
- Qui ont une hygiène insuffisante.
- ...
Quelles sont les précautions à prendre ?
- Il est important d’avoir une très bonne hygiène pendant les premières semaines qui suivent la pose des implants.
- Il est très important d’éviter de croquer, manger des aliments durs etc... avec la couronne ou le bridge provisoire pendant au moins deux mois après la pose des implants.
- Il faut être suffisamment disponible et ne pas hésiter à contacter l’équipe soignante en cas de gêne ou de douleur.